Η αχαλασία είναι η πιο συχνή διαταραχή της κινητικότητας του οισοφάγου και εφανίζεται συνήθως σε ασθενείς 30-60 ετών. Η αιτία που την προκαλεί είναι άγνωστη, η παθολογία της όμως συνίσταται σε απουσία περισταλτικών κινήσεων του οισοφάγου και χάλασης του κάτω οισοφαγικού σφιγκτήρα κατά την κατάποση. Οι διαταραχές αυτές οδηγούν σε αδυναμία προώθησης του περιεχομένου του οισοφάγου στο στομάχι με αποτέλεσμα να διατείνεται ο οισοφάγος και να συσσωρεύει μέσα του άπεπτες τροφές.
Διάγνωση της αχαλασίας οισοφάγου
Το κυριότερο σύμπτωμα της αχαλασίας είναι η δυσκαταποσία η οποία κάποιες φορές είναι χαρακτηριστικά παράδοξη, οι ασθενείς δηλαδή δυσκολεύονται μόνο όταν καταπίνουν υγρά αλλά όχι στερεές τροφές. Την δυσκαταποσία οι ασθενείς την αντιμετωπίζουν αρχικά πίνοντας μεγάλες ποσότητες νερού για να τους βοηθήσει να καταπιούν, με την πάροδο όμως του χρόνου η δυσφαγία επιδεινώνεται και αναπόφευκτα πρέπει να αντιμετωπιστεί. Σε αρκετούς ασθενείς η δυσκαταποσία είναι επώδυνη. Ο πόνος μοιάζει με τον πόνο των καρδιακών παθήσεων, γεγονός που συχνά προκαλεί σύγχυση. Άλλα συμπτώματα της νόσου είναι οι αναγωγές οι οποίες προκαλούν νυκτερινό βήχα και πνευμονίες εξ εισροφήσεως. Η επιδείνωση και η μη ριζική αντιμετώπιση της αχαλασίας (ριζική αντιμετώπιση γίνεται μόνο χειρουργικά) προκαλεί απώλεια βάρους και κακή θρέψη. Επίσης η για πολλά χρόνια αθεράπευτη αχαλασία θεωρείται ως μια από τις αιτίες του καρκίνου του οισοφάγου, ενός από τους πιο επικίνδυνους καρκίνους του πεπτικού συστήματος.
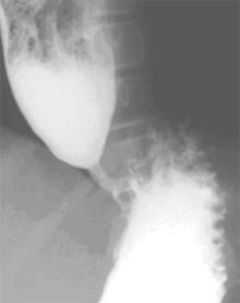
Τα πιο πάνω συμπτώματα είναι χαρακτηριστικά της αχαλασίας και μας κάνουν να υποψιαστούμε την παρουσία της. Η διάγνωση της όμως πρέπει να επιβεβαιωθεί με γαστροσκοπικό και ακτινολογικό έλεγχο και να τεκμηριωθεί με μανομετρία του οισοφάγου, εξέταση που μετρά τις πιέσεις και την κινητικότητα του οργάνου.

Λαπαροσκοπική Μυοτομή κατά Heller
Η αντιμετώπιση της αχαλασίας του οισοφάγου είναι δυνατόν να αρχίσει συντηρητικά με φάρμακα, ή ενδοσκοπικά με διαστολές ή εγχύσεις της τοξίνης της αλλαντιάσεως στον κατώτερο οισοφαγικό σφιγκτήρα. Όλες αυτές οι τεχνικές είναι συνήθως ανεπαρκείς ή επιφέρουν μόνο παροδική ανακούφιση των συμπτωμάτων.
Επιπλέον η χρήση των ενδοσκοπικών τεχνικών μπορεί να δυσκολέψει την εφαρμογή της χειρουργικής θεραπείας της αχαλασίας, η οποία είναι και η μόνη ριζική μέθοδος αντιμετώπισης της. Χειρουργικά δεν αποκαθιστούμε την κινητικότητα του οισοφάγου, αυτό που κάνουμε είναι να αντιμετωπίσουμε το κώλυμα που εμποδίζει την δίοδο των τροφών και έτσι οι ασθενείς να τρώνε κανονικά.

Η χειρουργική αντιμετώπιση της αχαλασίας του οισοφάγου έχει επικρατήσει να γίνεται πλέον λαπαροσκοπικά. Η επέμβαση ονομάζεται λαπαροσκοπική Μυοτομή κατά Heller και συμπληρώνεται με πρόσθια θολοπλαστική κατά Dor. Η εξειδικευμένη αυτή επέμβαση πραγματοποιείται από μικρές τομές στην κοιλιά και υπό γενική αναισθησία, όπως και όλες οι λαπαροσκοπικές επεμβάσεις. Με ειδικά εργαλεία διατέμνεται ο κατώτερος σφιγκτήρας του οισοφάγου που αντιπροσωπεύει το μυϊκό μέρος της γαστροοισοφαγικής βαλβίδας. Με την κοπή του σφιγκτήρα αυτού ανοίγει ουσιαστικά η βαλβίδα και οι τροφές μπορούν να περάσουν στο στομάχι. Η καταστροφή όμως της βαλβίδας επιτρέπει και την προς τα πίσω ροή του γαστρικού περιεχομένου, κατάσταση την οποία προλαμβάνουμε με την πρόσθια θολοπλαστική κατά Dor που κάνουμε.
Οι επιπλοκές της μυοτομής Heller καθώς και των επεμβάσεων στον οισοφάγο μπορεί να είναι πολύ σοβαρές, ελαχιστοποιούνται όμως, και αν παρουσιαστούν αντιμετωπίζονται έγκαιρα και σωστά μόνο όταν εκτελούνται από εξειδικευμένους σε αυτές τις επεμβάσεις χειρουργούς.

